Biologicamente, um adulto com a dentição permanente completa possui 32 dentes, incluindo os quatro sisos (terceiros molares). No entanto, é possível que, por anomalias, uma pessoa apresente alguns poucos pares a mais. Recentemente, um malaio, de 33 anos, entrou para o Guinness World Records (Livro dos Recordes) por ter 42 dentes na boca.
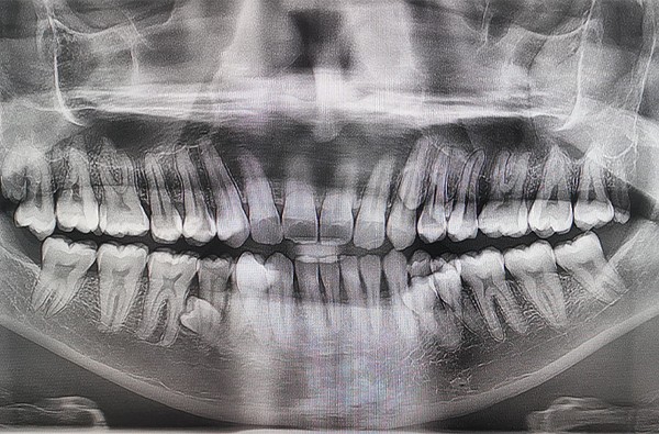
Convencido de que teria apenas três pares a mais que uma dentição normal, Prathab Muniandy chamou a atenção de especialistas por apresentar uma característica nada convencional. De acordo com exames efetuados, o homem possui 10 dentes a mais que uma pessoa adulta. No raio-X, foi mostrado que outros quatro dentes ainda não erupcionaram (que não romperam a gengiva).

Diante do cenário atípico, o malaio foi registrado no Guinness Book como o homem com mais dentes no mundo. O status somente foi possível após diversos dentistas decretarem a presença dos pares extras por meio de exames de imagem. Curiosamente, a presença das estruturas em excesso não atrapalha a vida de Muniandy, que afirmou que outras pessoas dificilmente notam a anomalia.
“É uma sensação incrível e muito especial saber que detenho um recorde mundial por ter o maior número de dentes”, declarou o homem, explicando ainda que possuir a condição não afeta seu cotidiano ou a saúde bucal. Por sua vez, é comum que pessoas com esse problema sintam dor, tenham má oclusão (mordida incorreta), cáries dentárias, apinhamento e até cistos orais benignos.
Cenário anormal é explicado pela ciência
Apesar de sua raridade, o problema de Prathab é chamado pela ciência de hiperdontia. Essa condição afeta cerca de 1% a 3% das anomalias dentárias, sendo duas vezes mais presente em homens. O problema é configurado pela aparição de dentes extras (supranumerários). Conforme especialistas, são mais comuns em pacientes que possuem algumas síndromes.
Em artigo publicado na revista European Journal of Dentistry, a hiperdontia tem uma incidência maior em pessoas com a síndrome de Ehlers-Danlos, síndrome de Gardner ou um distúrbio genético raro, como a Doença de Fabry. Em contrapartida, podem surgir em indivíduos com lábio leporino, fenda palatina e displasia cleidocraniana (DCC).





